野球肘 診断

肘に痛みがあり動きも悪いなどの症状であれば、野球肘が疑われます。レントゲン検査やMRI検査で診断します。

野球肘, 手外科, 埼玉, 埼玉手外科研究所, 東松山市, 熊谷市, 原田病院, 名戸ヶ谷あびこ病院, 千葉徳洲会病院, 柏たなか

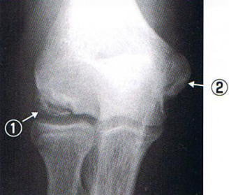
レントゲン像
@ 骨の不整像
A 成長軟骨の異常

野球肘 症状

野球肘 原因・病態

野球肘 診断

野球肘 治療

野球肘

埼玉手外科研究所

埼玉手外科研究所(ホームページ)

Twitter(埼玉手外科研究所)

Facebook(埼玉手外科研究所)

目次

手の外科の館ホーム