上腕骨顆上骨折 症状・診断

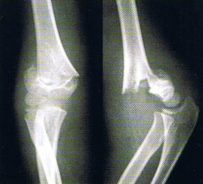
肘の部分に激しい痛みと腫れがあり、痛くて肘が動かせないと、この骨折を疑います。骨折片で神経や血管が損傷されると、手や指がしびれて動かせなくなることがあります。レントゲン検査で診断します。

上腕骨顆上骨折, 手外科, 埼玉, 埼玉手外科研究所, 東松山市, 熊谷市, 原田病院, 名戸ヶ谷あびこ病院, 千葉徳洲会病院, 柏たなか

上腕骨顆上骨折, 手外科, 埼玉, 埼玉手外科研究所, 東松山市, 熊谷市, 原田病院, 名戸ヶ谷あびこ病院, 千葉徳洲会病院, 柏たなか

レントゲン写真

上腕骨顆上骨折 症状・診断

上腕骨顆上骨折 原因・病態

上腕骨顆上骨折 治療

上腕骨顆上骨折 合併症

上腕骨顆上骨折

埼玉手外科研究所

埼玉手外科研究所(ホームページ)

Twitter(埼玉手外科研究所)

Facebook(埼玉手外科研究所)

目次

手の外科の館ホーム